推荐度:
展位号: ZT15030
点击量: 1589
网站首页 |
申请展台
| 在线反馈
       
  平生医疗科技(昆山)有限公司  

平生医疗科技(昆山)有限公司

网址: 暂未添加二级域名 收藏
企业介绍 企业动态 产品展厅 资料中心 下载中心 询价订单 企业荣誉 招聘信息 联系我们 促销商品
当前位置: 展台首页 > 企业介绍
 产品目录
其它
 联系我们
地 址:昆山千灯镇石浦立益路58号
邮 编:215343
联系人:毕涛
电 话:18606247288
传 真:+86-0512-55151001
邮 箱:tbi@pingseng.com
 友情链接
· 中国分析仪器网
 产品展厅 返回列表

Super Nova高性能活体小动物PET CT影像系统

公司名称: 平生医疗科技(昆山)有限公司
参考价格: 1
发布时间: 2015-12-21
产品描述:
Super Nova PET/CT系统采用了当今全球医药领域和生物工程方面的领先技术,通过对小型啮齿动物(小鼠或大鼠)进行活体状况下的功能及解剖成像,获得该动物身体状况及药物在小动物体内分布情况的各种数据,以满足实验研究及分析需要。
Super Nova高性能活体小动物PET CT影像系统的详细介绍

   Super Nova影像产品系列是平生医疗科技(昆山)有限公司推出的高性能、多模态小动物影像系统。

    Super Nova小动物PET/CT影像系统具有以下突出优势:
1.卓越的图像分辨率,超高图像分辨率(<1.3毫米),实现高品质成像
2.多功能、集成化的实验动物安置及监控系统
3.全封闭式辐射防护设计
4.PET系统模块化、个性化配置设计
5.快速锥束CT扫描
6.最长轴向视野,单床位扫描整只实验鼠,有效观测实验鼠全身药物代谢等
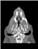
Super Nova系统扫描实验鼠CT图像
Super Nova系统扫描实验鼠PET、CT以及PET/CT融合图像
  
头部CT图像    头部PET图像  头部PET/CT图像
Super Nova系统扫描实验鼠头部PET、CT以及PET/CT融合图像
 
    平生公司谨遵用心服务、客户至上的原则,在为客户提供可靠产品的同时,辅之以专业的技术指导和全面完善的售后服务。
   
 
    欢迎来电来函咨询交流!

 

我要咨询

留下您的询价信息和联系方式,展商会与您取得联系!*号必须填

*姓名: 职务:
*单位名称:
*电话:
(填写格式:057188976106,或者填写手机号)
*E-mail:
网址:
询价内容:
 
首页 | 仪器商场 | 展商在线 | 展会信息 | 供求信息 | 仪器英才 | 应用资讯 | 图书期刊 | 管理入口
中国分析仪器网 设计制作,未经允许翻录必究.以上信息由企业自行提供,信息内容的真实性
准确性和合法性由相关企业负责,中国分析仪器网对此不承担任何保证责任
浙ICP证020120号 经营许可证编号:浙B2-20060229